1. Измерения всего позвоночника
На рентгеновском снимке в передне-задней проекции определить верхний и нижний позвонки. Провести линии вдоль их соответствующих замыкательных пластинок и измерить угол пересечения или перпендикуляров, то есть угол Кобба.
Угол ротации позвонка (метод Нэша-Мо):
Оценивается на основе смещения ножки на рентгеновских снимках в передне-задней проекции.
Время: 2–3 минуты на позвонок.
Измерения ротации на аксиальной КТ:
Оценка угла между ножкой и ребром или угла между позвонком и остистым отростком.
Время: 5–10 минут для всего позвоночника (требуется многосрезовая реконструкция).
2. Измерения всей нижней конечности
Функциональная длина нижней конечности:
Расстояние от центра головки бедренной кости до центра голеностопного сустава на рентгеновском снимке в вертикальном положении.
Время: 1–2 минуты (сравнение с противоположной стороной)
Отклонение механической оси (МАД):
Вертикальное расстояние от центра коленного сустава до линии, соединяющей центр головки бедренной кости и центр голеностопного сустава.
Время: 2–3 минуты (требуется калибровка увеличения)
Бедренно-большеберцовый угол (HKA):
Угол между механическими осями бедренной и большеберцовой костей.
Время: 3–4 минуты (требуется точное определение центра сустава)
3. Измерения коленного сустава
Бедренно-большеберцовый угол (FTA):
Для оценки варусной (О-образные ноги) или вальгусной (Х-образные ноги) деформации коленей.
На рентгеновском снимке в вертикальном положении провести механическую ось бедренной кости (от центра головки бедренной кости до центра коленного сустава) и механическую ось большеберцовой кости (от центра коленного сустава до центра голеностопного сустава). Измерить латеральный угол между этими двумя осями.
Угл торсии бедренной кости:
Определяемый по КТ угол между осью шейки бедренной кости и касательной линией к задним мыщелкам бедренной кости (требуется поперечное сканирование + 3D-реконструкция).
Время: 5–8 минут на сторону
4. Измерения тазобедренного сустава
(Содержание раздела отсутствует в исходном тексте)
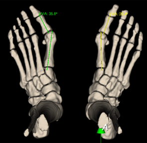
5. Измерения стопы и голеностопного сустава
Автоматизированная система измерений: точность и эффективность
- Первая в мире система, поддерживающая автоматизированные измерения всего позвоночника, нижних конечностей и отдельных сегментов
- Охватывает около 200 параметров измерений
- Генерирует структурированные отчеты всего за 15 секунд
- Предоставляет медианные сагиттальные срезы и данные о торсии суставов в условиях весовой нагрузки
- Использует независимые системы координат для каждой конечности для отражения истинных деформаций
- Поддерживает 3D-печать сканированных анатомических моделей для использования в проектировании ортезов, планировании операций и клиническом образовании
1. Автоматическое измерение всего позвоночника
2. Автоматическое измерение всей нижней конечности
3. Автоматическое измерение коленного сустава
Поддерживает MPR-реконструкцию в 3D и оценку на базе искусственного интеллекта таких параметров, как медиальная/латеральная ширина суставной щели, JLCA, тепловая карта суставной щели, ширина/высота межмыщелковой вырезки и индекс ширины вырезки.
4. Автоматическое измерение тазобедренного сустава
5. Автоматическое измерение стопы и голеностопного сустава
Поддерживает измерение углов Pitch, Meary, Бёлера, Прейзера, Лангрэ и др., с предоставлением пригодных для 3D-печати моделей для клинического использования.
WR-3D Автоматические Измерения: Формируя будущее ортопедии
Согласованность: Исключает зависимость от оператора
Carmen et al. (2017). Spine Deformity. DOI 10.1016/j.jspd.2016.12.001
Zhang et al. (2019). Eur Spine J. DOI 10.1007/s00586-019-05924-3
Wu et al. (2020). J Orthop Res. DOI 10.1002/jor.24567
Nash & Moe (1969). JBJS. PMID 5783856
Stokes et al. (2006). Spine. DOI 10.1097/01.brs.0000215429.97572.aa
Liu et al. (2021). Nat Commun. DOI 10.1038/s41467-021-22118-y
Kuklo et al. (2005). Spine. DOI 10.1097/01.brs.0000155405.00881.9a
Paley D. Principles of Deformity Correction (Springer, 2002)
Brouwer RW, et al. Osteoarthritis Cartilage 2007;15(6):644-651
Botser IB, et al. CORR 2011;469(12):3432-3440
Zhang J, et al. Med Image Anal 2021;73:102191
Vialle et al. (2005), Spine, PMID 15770185
Legaye et al. (1998), Eur Spine J, DOI 10.1007/s005860050038
Seltzer SE, et al. (1984). Foot Ankle. PMID 6745901
Saltzman CL, el-Khoury GY (1995). Foot Ankle. PMID 7550940








